How I Got Rid of the Bump on My Foot in Just Two Weeks

Published: Tuesday, May 13, 2025
Hi everyone, Today I want to share how I got rid of a painful bump on my big toe. I once went through a difficult surgery — followed by a grueling recovery. But later, I managed to eliminate the pain and swelling caused by bursitis with something much simpler. If you’re dealing with the same issue, I want to warn you about the mistakes I made — and show you how to treat hallux valgus (bunion deformity) without surgery. Let’s talk about it all.

My Results – Without Surgery
What Is Hallux Valgus?
Hallux valgus is a condition where a bony bump forms at the base of the big toe. As the cartilage shifts, the toe gradually angles inward, causing joint misalignment and a visible deformity. This often leads to pain and discomfort even while at rest. In many cases, the pain gets worse while walking — and wearing even the most comfortable shoes becomes a challenge.

What Untreated Hallux Valgus Looks Like
What Are the Consequences of Hallux Valgus?
Beyond the intense pain and discomfort, hallux valgus can gradually deform the entire structure of the foot — which then affects your whole musculoskeletal system. It begins with an altered gait, followed by cartilage displacement, spinal misalignment, and even knee or hip joint issues. The tricky part? It often goes unnoticed for a long time. Related conditions develop slowly, and many people don’t realize that problems like back pain or osteoarthritis may have started with their feet — just like I didn’t. Conditions like osteochondrosis, arthritis, bursitis, and chronic joint pain are some of the most serious consequences linked to untreated bunions. In extreme cases, this can even lead to disability or paralysis. That’s why it’s crucial to act early — and not by rushing into surgery, as many doctors suggest. I learned that the hard way.

Gout Triggered by Hallux Valgus
My Story
It all started like it does for many people — nothing too serious. At first, my feet would just ache a little. I felt tired, and sometimes they’d swell up after a long day. Then a persistent callus formed that just wouldn’t go away. I later found out it wasn’t a callus at all — it was the early stage of hallux valgus. I started walking less and gave up wearing my favorite shoes. Slowly, things got worse. My feet grew more fatigued, and even simple movements became painful. Eventually, the pain didn’t go away, even when I was resting. Some nights, it would wake me up, and I couldn’t fall back asleep for hours. Getting out of bed in the morning became a struggle. I felt drained all the time. It started affecting my job — I couldn’t keep up, and eventually, I had to leave. I gave up hobbies, social events, anything that involved walking or standing for long periods. I tried everything — home remedies, creams, herbal solutions. Some helped for a day or two, but the pain always came back. And I noticed I started depending on them more and more. When I finally resorted to strong painkillers like “Tramadol” — which many say is one of the most powerful available — and even those barely helped, I knew I couldn’t wait any longer. I went to a doctor.

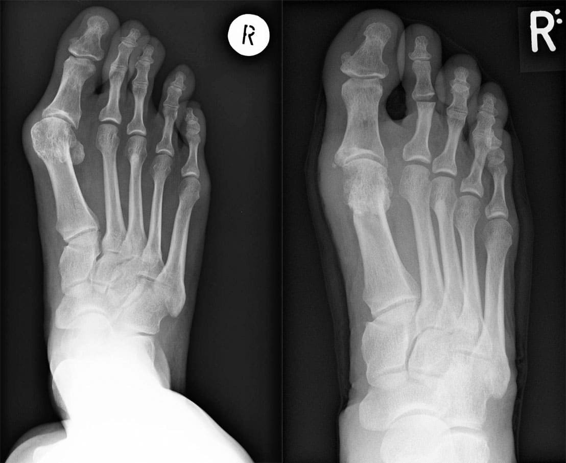
X-Ray Images: Before and After Treatment
Bunion Removal Surgery
It was devastating — but after reviewing my X-rays, the surgeon concluded that I needed urgent surgery to remove the bunion. The bone had already started causing complications in the surrounding joints, damaging ligaments, and putting me at risk of necrosis. If the tissue began to die, amputation could have been the only option. I was told that if I waited just a few more months, I might lose my entire foot. Necrosis is irreversible — once tissue dies, healing becomes extremely difficult. I was terrified. Naturally, I agreed to the surgery.If only I had known what I was signing up for…

My Foot One Month After Surgery
The surgery was done under general anesthesia, and I couldn’t move for an entire day afterward. I felt nauseous, dizzy, completely out of it. For the next three days, I was basically glued to the couch — it felt like a herd of elephants had trampled over me. Even going to the bathroom was a struggle. A nurse had to assist me, and the look on her face said it all — she clearly found the whole situation unpleasant. I was mortified. The only thing that gave me a sliver of relief was thinking the bunion was finally gone and I could put this behind me. Unfortunately… things weren’t that simple.

So I started moving around the hospital.Every single step was painful…
The Recovery Period
I wasn’t even allowed to walk for the first week. During that time, the pain was intense, and the painkillers barely made a difference. After seven days, they sent me home — not because I was healed, but because they couldn’t keep me there any longer without charging me. After two weeks that felt like prison, all I could dream about was taking a shower in my own home and finally relaxing. But even that wasn’t easy. I had to wrap my foot in plastic or foil to keep water from getting on the stitches.

I spent over a month trapped in those horribly uncomfortable “moon boots”.
Even at home, I was forced to wear special orthopedic shoes that squeezed my feet from every angle — they were unbearably uncomfortable. Every movement still hurt, but I pushed through… The doctor had assured me the surgery would remove the bunion permanently.Sadly, that turned out to be a lie — and one of my biggest disappointments.
After the Hallux Valgus Surgery
After three months, the pain in my feet began to ease. For a moment, I allowed myself to feel hopeful. But that joy didn’t last. By the sixth month, the pain returned — and so did the bump. I tried to convince myself it was just a blister… but deep down, I knew the truth. The doctor confirmed my fears. And when I asked how this could happen, he simply shrugged and said, “These things just happen sometimes. If you go back to your old habits, the problem usually comes back.” That was his answer.

My Foot Six Months After Surgery
Hearing those words made me want to scream. I could barely hold back the tears right there in his office. If even surgery couldn’t guarantee full recovery, did that mean I’d have to live with this pain for the rest of my life? Or worse… one day say goodbye to my feet altogether?
The Medical System’s Dirty Secret
The whole way home, I couldn’t stop thinking about it. The more I did, the worse I felt — I was nauseous, my legs felt heavy, and everything started going dark. I had to sit down on the nearest bench just to catch my breath. An older woman saw me struggling and kindly offered me some water. She even insisted on driving me home. On the way, I opened up to her — about everything. My personal struggles, the surgery, the hopelessness… She listened quietly, then looked at me with deep concern. Turns out, she had been a surgeon her whole life — but was let go just a few years before retirement simply because she refused to follow the system blindly.

My Foot Nine Months After Surgery
Every year, specialists around the world develop new, effective solutions for common health problems. But only a few of these ever reach everyday patients — even if they’re truly effective and high-quality. Why? Because many doctors receive a commission for every surgery they perform. And when you think about how underpaid most of them are, it becomes painfully clear why so many patients are pushed toward the operating table… instead of being offered a simpler, safer alternative.
If Not Surgery — Then What?
My new friend told me that around ten years ago, they developed an incredible solution that could start to correct hallux valgus in just a few months — without surgery or any invasive procedures. One honest doctor quietly began recommending ShiftEase Motion Sleeves to his patients, even as the system ignored them — because they helped realign the toe quickly and effectively.

It wasn’t sold in pharmacies, and for a long time, it was hard to get — but not anymore. Thanks to the internet, you can now order ShiftEase Motion Sleeves online — and even get a discount! My partner insisted I give them a try, especially since the price was so reasonable — and the results, as promised, were nothing short of amazing. Inspired by the doctor’s story, I rushed home and placed my order immediately.
Recovery
ShiftEase Motion Sleeves work by addressing the root cause of foot misalignment — gently correcting the position of the big toe and reducing pressure on the joint. At first, I just noticed a bit less pain. Then, after a few months of consistent use, the bump started to shrink. My toe gradually shifted back toward its natural position, and over time, walking became easier and more comfortable. By the end of the year, the transformation was undeniable. Ladies — isn’t that something to be amazed by?

I can’t even count how much money I wasted on useless creams that did nothing… How many tears I shed in that hospital room, how much pain I endured — I wouldn’t wish it on anyone, not even my worst enemy.

This Is What My Feet Look Like Now — One Year After Using ShiftEase Motion sleeves Toe Separators
Who knows where I’d be today if I hadn’t met Martha Klein — the woman who told me about this product and, truly, saved my life.

After going through every circle of hell that hallux valgus brings, I made a decision: If our healthcare system won’t support simple, effective solutions like this, then we have to take care of ourselves.
Where Can You Get ShiftEase Motion Sleeves?
If you’re suffering from hallux valgus or even considering surgery, I strongly recommend trying ShiftEase Motion sleeves first. They helped me at an advanced stage — and I truly believe they can help you too. You can order them directly from the official website. There’s a special promotion running — with up to 60% off for a limited time. Wishing you healing and comfort!